Cirugía de juanetes
en Badalona

Corrige la desviación del dedo gordo del pie con una cirugía mínimamente invasiva realizada en Badalona por un podólogo especialista en eliminar juanetes.  ¡Vuelve a caminar sin molestias!

Juanetes: causas y por qué aparecen

Los juanetes, conocidos en medicina como hallux valgus, son una deformidad progresiva del pie que afecta la articulación del dedo gordo, provocando su desviación hacia los demás dedos. Andar con juanetes suele provocar dolor al caminar, inflamación visible, enrojecimiento y dificultad para utilizar calzado habitual.

Los factores de riesgo más frecuentes son la herencia genética, la morfología del pie (como el pie plano), el uso prolongado de calzado estrecho o de tacón y determinadas patologías asociadas. Aunque pueden aparecer en cualquier persona, son más comunes en mujeres por la forma del pie y el tipo de calzado utilizado.

En nuestra clínica podológica en Badalona, realizamos una valoración personalizada para determinar si tu caso requiere cirugía de juanetes o si aún es posible optar por tratamientos conservadores no invasivos.

¿Cuándo operarse de juanetes?

La cirugía de juanetes suele recomendarse cuando los tratamientos conservadores, como el uso de calzado ancho, antiinflamatorios o crema antibiótica para controlar la inflamación o pequeñas infecciones, no logran aliviar el dolor ni detener la progresión de la deformidad.

Nuestra recomendación es operar los juanetes en estos casos: 

Cirugía de juanetes por mínima incisión

La cirugía mínimamente invasiva de juanetes permite corregir la deformidad de la articulación del pie sin realizar grandes incisiones. A través de microincisiones y con control radiológico, se accede al hueso para realinearlo sin dañar los tejidos blandos.

Ventajas de la cirugía mínimamente invasiva vs cirugía tradicional

Soluciona tus juanetes para siempre

Recupera la comodidad al caminar y vuelve a disfrutar de tu día a día gracias a nuestra cirugía de juanetes por mínima incisión

Proceso quirúrgico de una intervención de juanetes

01.

Valoración inicial

Realizamos una exploración completa del pie, para valorar si padeces un juanete y si eres candidato a la operación.

02.

Preparación preoperatoria

Te proporcionamos todas las indicaciones necesarias para que llegues a la intervención de juanetes con total tranquilidad.

03.

Intervención

La cirugía de juanetes se realiza en nuestra clínica de Badalona, bajo anestesia local y sin necesidad de ingreso. Dura entre 30 a 60 min.

04.

Seguimiento postoperatorio

Te acompañamos en la recuperación del juanete con curas y revisiones para asegurar una correcta evolución.

Recuperación tras la cirugía de juanetes

Tras la cirugía de juanetes mínimamente invasiva, la mayoría de pacientes vuelve a caminar con normalidad en las dos primeras semanas, y la recuperación completa se logra entre 6 y 8 semanas. Aún así, podrás apoyar el pie desde el primer día utilizando un calzado postquirúrgico especial, que refuerza y minimiza el impacto en la zona anteriormente afectada por el juanete. Durante todo el periodo de recuperación, realizamos un seguimiento podológico personalizado para adaptar el tratamiento a tus necesidades y asegurarnos de que después de la intervención de juanetes el pie evoluciona correctamente.

¿Por qué elegir nuestra clínica podológica en Badalona?

Expertos en intervenciones mínimamente invasivas

+ 50 pacientes intervenidos con éxito

Tecnología de vanguardia y diagnóstico preciso

Cirugía de juanetes con mínima incisión

Confía en un equipo especializado con años de experiencia y recupera la libertad de moverte

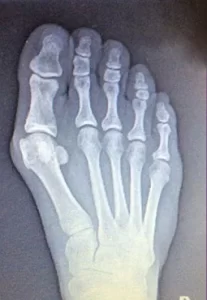
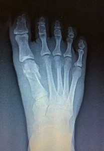
Operación de juanetes: antes y después

JUANETE LEVE

Juanete leve que afectaba a la estética del pie y generaba inseguridad. Se realizó una cirugía mínimamente invasiva que corrigieron la desviación sin dejar cicatrices visibles. Tras la intervención, la paciente ha mejorado notablemente la apariencia del pie y ha recuperado la confianza.

JUANETE CON DOLOR CRÓNICO

Paciente con un juanete severo sufría dolor crónico e inflamación persistente que dificultaban su movilidad diaria. Mediante cirugía podológica por mínima incisión, se corrigió la deformidad. En pocas semanas, el paciente volvió a caminar sin molestias, mejorando significativamente su calidad de vida.

JUANETE EN DEPORTISTA

Deportista con pérdida progresiva de movilidad y dolor al apoyar debido a un juanete rígido. Se optó por una intervención mínimamente invasiva que permitió realinear el dedo sin dañar tejidos blandos. Gracias a ello, ha recuperado la funcionalidad del pie y ha vuelto a entrenar sin molestias.

Dr. Ricard Mejias

El Dr. Ricard Megías es un reconocido especialista en podología y cirugía podológica, graduado por la Universidad de Manresa. En su clínica de Badalona lidera un equipo de profesionales que ofrece tratamientos avanzados para corregir juanetes y otras patologías del pie.

Gracias a su amplia experiencia clínica y al uso de técnicas mínimamente invasivas, proporciona soluciones seguras para eliminar por completo juanetes en los pies, siempre con el bienestar del paciente como prioridad.

Si sufres molestias al caminar o quieres corregir la desviación del dedo gordo del pie, el Dr. Ricard Megías y su equipo están preparados para ayudarte a dar el siguiente paso hacia una vida sin dolor.

Foto_ricard_1

Tu clínica de podología en Badalona

Estaremos encantados de atenderte en nuestra clínica de podología en Badalona:

Si lo prefieres puedes:

Opiniones de la operación de juanetes

Podòleg a Badalona place picture
5.0
Basado en 29 reseñas.
powered by Google
Adrian Lopez profile picture
Adrian Lopez
14:50 24 Mar 25
Fui por que se me clavaba una uña y me solucionó el problema sin dolor y el mismo día. Muy agradecido con el trabajo, volveré!
David Belzunce profile picture
David Belzunce
21:49 02 Mar 25
I was there a few days ago to get a facial vitamin treatment.
The treatment was excellent from the first moment. Ricard welcomed me and after telling him what I needed, he referred me to his colleague Paula. I couldn't be more happy and grateful with Paula's dedication, delicacy and professionalism.
It is, without a doubt, 100% recommended and a rewarding experience. The results obtained are wonderful.
Thank you very much Paula and Ricard
Ana Baborsky profile picture
Ana Baborsky
09:36 18 Feb 25
I am 34 years old, my foot is out and one of my feet goes out when I walk; I have been using templates all my life to correct this. I have been to many podiatrists and used many insoles, but they have never been able to correct my gait.
Until last year I went to Torregrossa Salud and I had already been trying 2 different insoles that had done nothing for me during the course. This year I changed podiatrists and went to Ricard. He made some templates for me with an innovative technique. At the moment we are testing to see how they go (I am in the first month of testing), but from minute 1 with these new templates I have already made a big difference. A difference that no podiatrist had ever made in my life. I notice how my leg has straightened and I walk with my foot inward, which is what they should have done with me 20 years ago...
I recommend it 100%, super personalized and detailed treatment.
Andreu Oviedo profile picture
Andreu Oviedo
14:30 17 Feb 25
A crack in Ricard, for me, the best podiatry clinic in Badalona. Super recommended, keep up the good work master!
ildefonso moyano profile picture
ildefonso moyano
16:37 25 Dec 24
Ainoa Rubió profile picture
Ainoa Rubió
16:29 25 Nov 24
I totally recommend it. I wanted to try the podiatry service at this new clinic due to foot problems, and I was very happy with the result. Unbeatable treatment, they make you feel very good. The facilities are great, and above all, Ricard's great professionalism. I'll be back!
Albert Badenas profile picture
Albert Badenas
13:08 21 Nov 24
I visited the Ricard Megias clinic for a pain that I had been having for a long time, and I couldn't be more satisfied with the care received. From the moment I walked in, the team were friendly, professional and made sure I felt comfortable throughout the consultation.
Ricard not only diagnosed my problem, but explained each step of the treatment to me in a clear and understandable way.
The treatment was effective, and now I can walk without pain, something I haven't been able to do for months. Additionally, the facilities were spotless and well-equipped, which made for an even more positive experience.
I recommend Ricard without a doubt to anyone looking for quality podiatric care.
Patri Cota profile picture
Patri Cota
11:15 21 Nov 24
My cousin recommended her. Treatment and professionalism of 10. I went because I had a nail stuck in and it hurt a lot. Dr Ricard Megias fixed my nail and made the pain go away and I can walk and play sports without any problem. It also has physiotherapy and aesthetic medicine services. I'm sure I'll get some treatment.

Contacta con nosotros

    Hidden fields

    Preguntas frecuentes sobre la cirugía de juanetes

    El precio de la cirugía de juanetes en nuestra clínica de Badalona es de 2.500 €. Este importe incluye la valoración preoperatoria, la intervención con técnicas mínimamente invasivas, y el seguimiento postoperatorio personalizado para garantizar una recuperación óptima.

    Sí, en la mayoría de los casos se corrige por completo. La cirugía realinea el hueso y mejora tanto la estética del pie como la funcionalidad. El objetivo es eliminar el dolor, evitar que la deformidad avance y permitirte volver a calzarte y caminar con normalidad.

    No, la operación no duele gracias a la anestesia local. Durante la intervención no se siente dolor, y tras la cirugía, al tratarse de una técnica poco invasiva, las molestias suelen ser leves y se controlan fácilmente con analgésicos suaves. La mayoría de pacientes puede caminar desde el primer día con calzado postquirúrgico.

    No, podrás apoyar el pie desde el primer día. Usarás un calzado especial que protege la zona intervenida y facilita la marcha. La mayoría de pacientes recupera una pisada funcional en las primeras semanas y consigue una recuperación completa en unas 6-8 semanas.

    Otras intervenciones podológicas